Amber M Allen, DDS
Creating Beautiful Smiles in Omaha, NE

Porcelain Veneers and Crowns

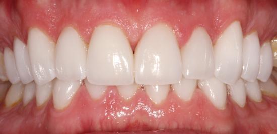
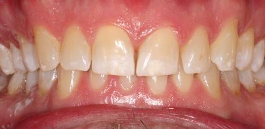
Years of nocturnal tooth grinding, tooth drifting and discoloration prompted this patient to seek an aesthetic change. Porcelain veneers and crowns on his front and side teeth put "new enamel" over worn surfaces, which gives his teeth longevity and also looks much more pleasing in the frame of his smile

Ready to book an appointment?
If you have difficulty using our website, please email us or call us at (402) 216-7298